Az Egyenítő szalagot nevezhetnénk sok nevű ínként is, hiszen hívják csüdfüggesztő szalagnak, suspensory ligamentnek és interosseus mediusnak is. Mind a négy kifejezés ugyanazt takarja.
Az elülső és hátulsó végtagon teljesen más a kialakulása, a betegség diagnózisa és a lefolyása.
Az elülső végtagon két fő, kialakító okra lehet gondolni. A túl magas sarokfalak, sarokemelések, állandó sarkak túlterhelhetik a szalagot, elsősorban annak szárait. Nagyon gyakori, hogy a szalag eredésének sérülése hátulsó végtag sántaság, különösen gyakran a csánk gyulladása miatt, másodlagosan alakul ki, mert a ló túlterheli az elülső végtagokat azért, hogy a fájós hátulsókat tehermentesítse. Nagyon jellemző, hogy a ló jobban sántít, amikor a fájós végtag a külső körön van.
A hátulsó végtag megbetegedései sportlovaknál gyakoribbak. Úgy látják, hogy a négy évszakos talajok elterjedésével gyakoribbá vált a probléma, bár erre meggyőző bizonyíték még nincs. A betegség lassan alakul ki, eleinte csak teljesítmény csökkenés, később evidens sántaság észlelhető. A hátulsó végtag anatómiája ezen a tájékon kissé eltér az elülsőétől. Ha ez az ín az eredésénél megsérül, megvastagodik, jobban beszorulhat, beékelődhet a csontok közé, emiatt a sántaság nehezebben javul, gyakoribb a konstans sántaság
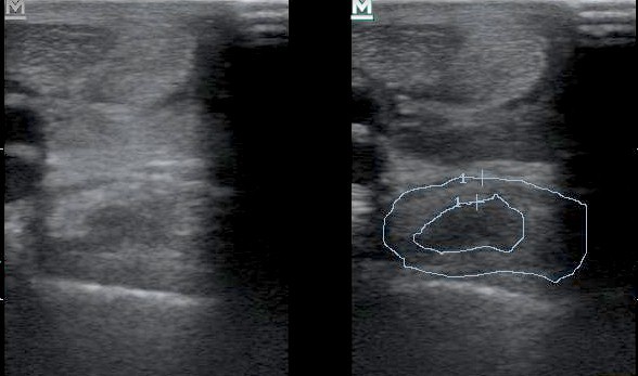
Súlyos fokú egyenítőszalag sérülés keresztmetszeti képe. Bal oldalon a sima, jobb oldalon a bejelölt felvétel.
Mindkét végtagon érzéstelenítés és ultrahang vizsgálat alapján lehet a diagnózist kimondani az esetek többségénél. Az ultrahang lelet enyhébb sérülések esetén kétes lehet, ezt MR vizsgálattal lehet megerősíteni. A kezelés alapja a kontrollált mozgatás.
Az orvosi kezelések közül a legmodernebb az őssejt kezelés. Nagyon népszerű és jól működik a PRP kezelés is. A fizioterápiák közül a lökéshullám-terápia (shockwave) és a lézer kezelés jöhet szóba. A hátulsó végtag, konzervatív kezelésre nem változó eseteinél műtét, idegmetszés indokolttá válhat. A rehabilitáció idején a hegyfalnál szélesített, a száraknál keskenyített gyógypatkót érdemes használni, amikor az ügetéses fázis elkezdődik. Ez a patkó a mély ujjhajlító inat feszíti meg jobban, ezért óvatosan kell alkalmazni, kizárólag ebben az időszakban.
Bár gyári patkót is lehet venni, egy profi kovács el is tudja készíteni a gyógypatkót. a szárak keskenyítve vannak, a hegyfali részt megszélesítették egy toldással. Puha talajon fejti ki hatását. (Fotó: Ormándi Zsolt)
Az ínsérülésekről összefoglalót IDE KATTINTVA olvashat.


