Az őssejtkezelés lényege az, hogy olyan sejteket izolálunk, szaporítunk és vetünk be a kezelés során, amelyek a sejtek fejlődésének egy korábbi, kevéssé differenciálódott, többre képes állapotában vannak.

Az őssejtlaborunkban tenyésztett őssejtek portréi
Kimondhatjuk, hogy az orvostudomány legizgalmasabb, legtöbbet kutatott, felmérhetetlen jövőt rejtő területe az őssejtkutatás. Jelenleg úgy gondoljuk, hogy a jövőben komplett szerveket tudnak majd előállítani, gyógyítani lehet majd a sérült gerincvelőt és a vakság bizonyos formáinak kezelése is a küszöbön áll.
Mi az úgynevezett zsír eredetű, mesenchimális őssejteket használjuk. Mód van csontvelő eredetű őssejtek tenyésztésére is. Ezek a sejtek többféle, ismert és rejtélyes módon hatnak. Gyógyító mechanizmusokat aktiválnak, gyulladást csökkentenek, sejteket programoznak. Akár sérült inakat, akár beteg ízületeket kezelhetünk. A közeljövőben szemészeti problémákat is kezelünk őssejtekkel. Az eddigi használatuk alapján jelenleg a leghatékonyabb kezelésnek gondoljuk.
Az ínsérülések kezelésénél az ín sérült részébe, közvetlenül fecskendezzük be az őssejteket ultrahang ellenőrzés mellett. Tovább fokozhatjuk a kezelés hatékonyságát egyszeri shockwave kezelés egyidejű alkalmazásával, ami aktiválja a befecskendezett sejteket. Ezt követően folytatódik a kontrollált mozgatás. A kontroll ultrahang felvételeken hamarabb, egységesebb szerkezetű inat látunk, mint ha nem végezzük el a kezelést.
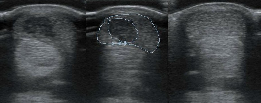
A bal oldali képen egy friss, felületes ujjhajlító ín sérülés látható. A középső képen bejelölve a sérülés, ami 33%-os, kifejezetten nagy defekt. A jobb oldali képen két hónappal az őssejt beadás után a sérülés egyáltalán nem látható!

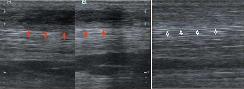
Az előző eset hosszmetszetben. A piros nyilak felett a friss sérülés a bal oldali képen. A jobb oldali képen a fehér nyilak felett a teljesen kitöltődő defekt és majdnem tökéletes szerkezetű ín.
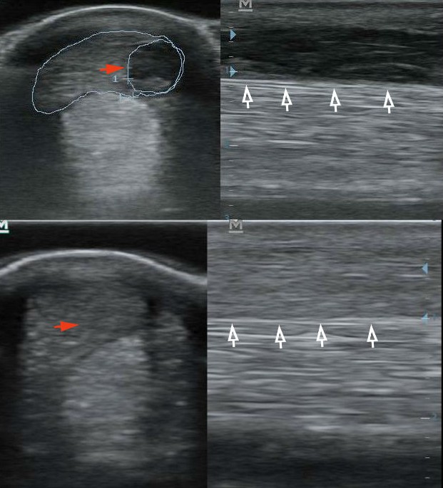
A bal felső oldalon a felületes ujjhajlító ín friss sérülése (bekarikázva, piros nyíl). A jobb felső sarokban az ín sérülése hosszmetszetben (fekete sáv a fehér nyilak felett). A bal alsó, keresztmetszeti kép három hónappal az őssejt kezelés után (a piros nyíl a sérülés helyére mutat). A defekt teljesen kitöltődött. A jobb alsó sarokban hosszmetszetben látjuk a kitöltődött defektet (a fehér nyilak fölött). Az ín szerkezete még nem teljesen megfelelő.

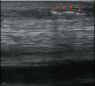
Az ultrahang vezérelt őssejt-oldat befecskendezés ellenőrzése. A piros nyilak a beinjekciózás során bekerülő levegőbuborékokat jelzik.


