Az ultrahangvizsgálat a ló ortopédia egyik legfontosabb képalkotó eljárási módszere. Személy szerint a kedvencem. A vizsgálat elsősorban a lágyszövetek megtekintésére való, de az ízületekről is sok mindent megtudhatunk általa.
Bár a denevérek és delfinek évezredek óta használják eredményesen, mi lógyógyászok csak a múlt század utolsó részében léptünk be a klubba. Azóta a készülékek olyan komoly fejlődésen mentek keresztül, hogy egy mai átlagos tudású géppel jobb felvételek készülnek, mint egy 20 évvel ezelőtti csúcskategóriájú készülékkel.
Egy kis magyarázat a működéséről: Az ultrahang fej megfelelő frekvenciájú ultrahangot bocsájt ki és a visszaverődő hangokat felfogja. Értékeli és képpé alakítja. A különböző szövetek másképpen eresztik át és másképpen verik vissza az ultrahangokat. Ezt elemezve alakítja képpé a gép a „hallottakat”.
Leggyakrabban inakat és szalagokat vizsgálunk. Ezek a képletek nagyon szabályosan rendeződő kollagén rostokból épülnek fel. Ezt a szabályos szerkezetet gyönyörűen megmutatja az ultrahang. Ha ez a szerkezet felbomlik, megjelenik a képen is. Ilyenkor a szép, szabályos, hófehér rostok között, vagy azoknak a helyén fekete, szürke foltok látszanak, amit defektnek szoktunk említeni. Ha ezek feketék, akkor friss sérülést gyanítunk, ha már szürkék, akkor régebbit. Az ínsérülések gyógyulásának utókövetésénél is ezt vizsgáljuk: hogyan változik a defektusok mérete, színe.


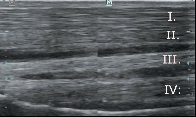
Az első képen hosszmetszetben láthatóak az inak. Rostjaik szabályosan lefutó erős, fehér csíkok. A második képen keresztmetszetben láthatóak az inak. Rostjaik erős, fehér pöttyök. A négy ín fentről lefelé: I. Felületes ujjhajlító ín. I.: Mély ujjhajlító ín. III. Járulékos szalag. IV. Egyenítő szalag (Suspensory ligament)
Az ízületek és ínhüvelyek vizsgálatakor nézzük azok folyadéktartalmát, a belső faluk vastagságát, és a bennük lévő bolyhocskák méretét, valamint a porc vastagságát.


