A röntgen a mindennapi ortopédiai vizsgálatok egyik leggyakrabban használt módszere az ultrahangvizsgálattal karöltve. Az ortopédiában elsősorban a csontokat és ízületeket vizsgáljuk vele. Mi egy Fuji márkájú, digitális röntgen készüléket használunk, mellyel azonnal láthatjuk a felvétel eredményét.
A ló csontjai nagyon vastagok az ember és főleg a kisállatok csontjaihoz viszonyítva. De jó felszereléssel kiváló, sok információt hordozó felvételeket tudunk készíteni a végtagok és a nyak nagy részéről. A nehézségek ott kezdődnek, ahol ezeket a vastag csontokat nagy mennyiségű izom veszi körül, hiszen itt a röntgensugárnak olyan nagy rétegvastagságon kell átjutni, ami már nehezen megy, ráadásul a sugarak megtörnek, irányt változtatnak, ami rontja a kép élességét. Ezért a térd, a váll és a nyak röntgen vizsgálata nehéz, a csigolyáké pedig kifejezetten nehéz.
Leggyakrabban ízületekhez kapcsolódó röntgen elváltozásokat találunk.

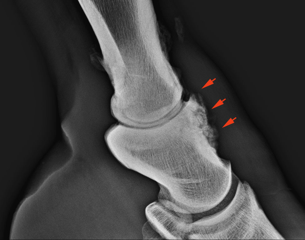
Csontfelrakódás (exostosis) a pártaízület krónikus gyulladásánál
A csontokon látható elváltozásokat alapvetően három csoportba sorolhatjuk:
- a csontállomány növekedése (new bone formation),
- a csontállomány csökkenése és
- alakváltozás.
A csontállomány növekedése esetén olyan csontfelrakódásokat láthatunk, melyek leggyakrabban a csont felszínén (például csonthártya gyulladás esetén), inak, szalagok, ízületi tok tapadásnál (enthezeophyta), az ízületi porc mellett (periarticularis osteophyta) vagy a csont állományában kialakuló meszesedés formájában (sclerosis) lehetnek. Csonthártya és ízületi betegségeket diagnosztizálunk ezeken az elváltozásokon keresztül.
A csontállomány csökkenése lehet egy körülírt csontciszta (ami leggyakrabban trauma következménye) vagy a csont oldódása (osteolysis), aminek a hátterében leggyakrabban csontgyulladás áll (osteomyelitis).

Csontciszta
Ezek az elváltozások nem azonnal alakulnak ki, minimum 7-10 nap, de gyakrabban pár hónap szükséges ahhoz, hogy egy felvételen láthatóvá váljanak. Ismételt vizsgálatokkal nyomon tudjuk követni a folyamatok alakulását ezeknek a csontreakcióknak a változásain keresztül.

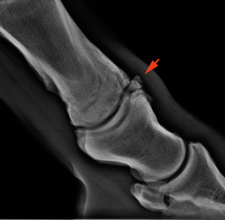
„Chip” törés a pártaízületben
Az alaki elváltozások közül elsősorban a törésekre és repedésekre, valamint a „chip” törésekre (OCD) kell gondolni elsősorban. Fontos tudni, hogy a repedések sokszor nem látszanak azonnal a felvételeken, hiszen a repedés mellett a csontok olyan szorosan egymás mellett fekhetnek, hogy nincs rés köztük. De 10-20 nap alatt a csontállomány oldódni kezd és a repedés láthatóvá válik. A törések diagnosztikájához a röntgen nem mindig elegendő, ilyenkor CT vizsgálat vagy a szcintigráfia is segíthetnek a pontos kép kialakításában.


