Régi, rettegett, nehezen kezelhető betegség a patahenger szindróma. Az elnevezése is állandóan változik.
A nyírcsonti burza beinjekciózása.

A szúrás helyességét röntgennel ellenőrizzük.
A patahenger a nyírcsont, a nyírcsonti nyálkatömlő és a mögöttük lefutó mély ujjhajlító ín együttes neve. Az ín gyulladását már elkülönítve tárgyaljuk. A nyírcsont és bursája megbetegedése egy hosszú, nehezen leírható folyamat eredménye. Általában 7-8 éves kor után alakul ki, nem ritkán mindkét elülső végtagon. Rossz végtag alakulás, rosszul kivitelezett körmölés/patkolás szerepet játszhat a létrejöttében. Gyakori lapos, aláfutó sarkakkal és hosszú hegyfallal „megáldott” paták esetében.
Tünetei: a ló mozgása tipegősebb lesz, először kanyarokban, a belső körön sántít, nem akar ugrani, majd fokozódik, állandósul a sántaság. Gyakran pihentetni kell az érintett végtagot előre állítva. A sántaságvizsgálat során a legalsó idegérzéstelenítéses pontra elmúlik a sántaság, sokszor láthatóvá válik a másik oldali, eddig egészségesnek hitt végtagon. A RTG-vizsgálat segíthet a nyírcsont megítélésében. Az enyhébb esetek elbírálása nem mindig egyértelmű. Sajnos nem mindig lehet megúszni az MR-vizsgálatot, mert a lágyszövetek (inak, szalagok, nyálkatömlő érintettségét a röntgen nem tudja kimutatni.
A kezelése során a hagyományos gyulladáscsökkentők mellett szóba jöhet a nyálkatömlő beinjekciózása, bifoszfonát gyógyszerek adása. Rendkívül fontos a megfelelő patkolás! Szóba jöhet az idegmetszés is, melyet mi nem nagyon javasolunk ennél a betegségnél, mert súlyos szövődmények alakulhatnak ki.

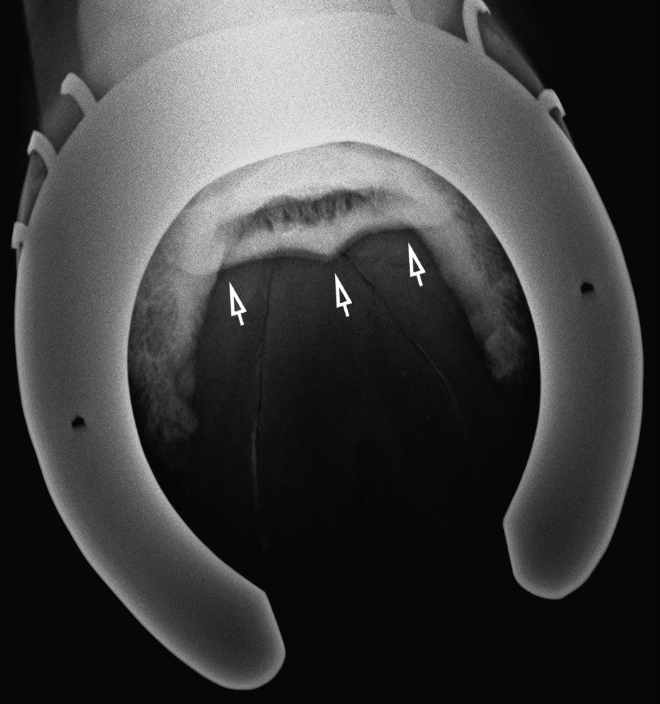
A nyírcsont vizsgálatára szolgáló un. oxspring felvétel. A nyilak a nyírcsontot mutatják.

Egészséges nyírcsont. Szabályos határai vannak, egyenletesen sötétszürke színű.

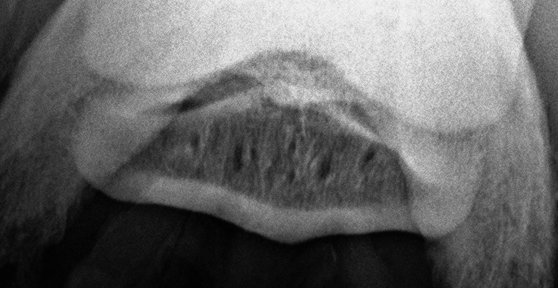
Három ciszta a nyírcsont állományában.

Klasszikus „teniszütő” elváltozások.

A nyírcsont állomány szivacsossá vált a csontban zajló bomlási folyamatoktól.

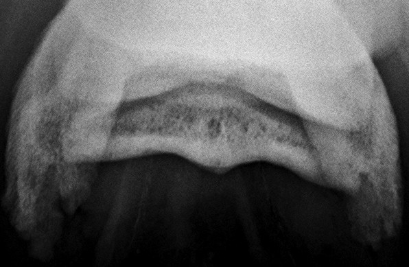
A másik nyírcsont felvétel, a skyline. Úgy készül, hogy a lovat ráléptetjük a kazettára. A nyilak mutatják a csont helyeződését.

Normális nyírcsont. Jól elkülönülő vékony, fehér kéregállomány és sötétszürke velőállomány, benne vékony csatornácskák.

Kitágult csatornák (vékony nyilak) és oldódás a csont kéregállomáányában 8 vastag nyíl).

Nagymértékben kitágul, cisztává váló csatornácskák.

A kéreg- és velőállomány egybeolvad a súlyos fokú meszesedés miatt. Középen cysta.


