Mindenki hallott már arról, hogy egy ízületben „chip” van. A vagányabbak egyenesen „chips”-nek mondják! A „chip” jelentése kisméretű, letört csontdarabka - chip fracture.
Kialakulását illetően két formája létezik:
- Az apró csontdarabok letörhetnek valamilyen trauma hatására. Elsősorban a lábtő-, és csüdízületben találkozunk ezzel a formával, de bármelyik ízületben, bármely életkorban előfordulhatnak.
- Talán gyakoribb a fejlődés során kialakuló, porccal fedett csontdarabok leválása. Ezek minden esetben az első életévben lepattannak bizonyos helyeken. A betegségre való hajlam örökletes, egyes országokban szűrik a tenyészállatokat, hogy csökkentsék az előfordulását. A gyors növekedés egyértelműen segíthet a csontdarabkák leválásában. Leggyakrabban a csánkban, a térdben, csüdben és patában látjuk.

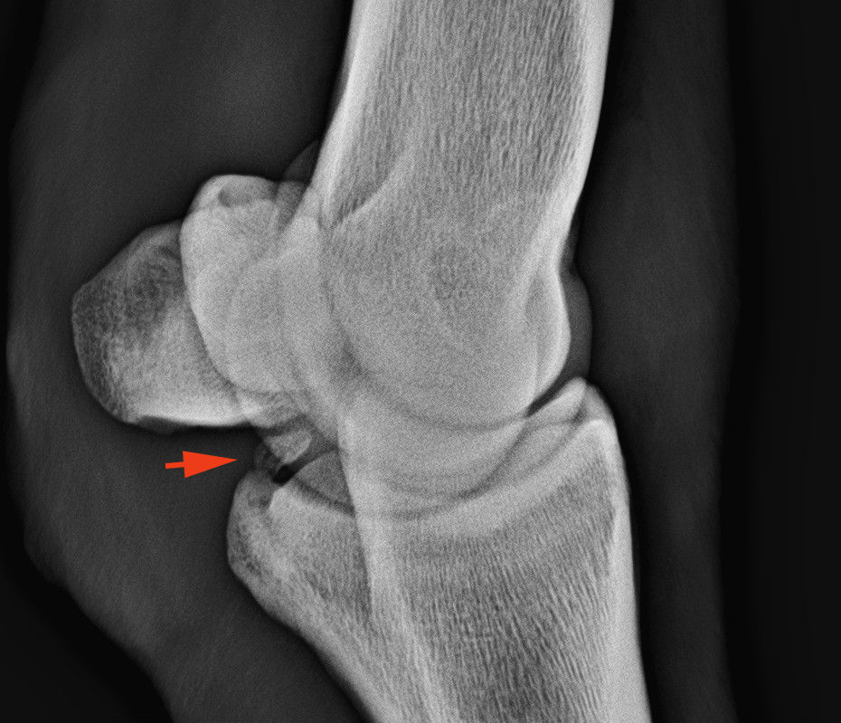
„Chip” a pártaízületben
Diagnosztikája elsősorban RTG vizsgálattal lehetséges. Egyes esetekben a röntgen nem találja meg a leválásokat, de atroszkópia során fény derül a jelenlétükre. A kezelésüket illetően azt kell mérlegelni, hogy okoz-e a levált darab problémát. Ez nem mindig könnyű. Ha az ízület feltelik, sántaságot okoz, pozitív lesz a hajlítási próba és az érzéstelenítés, mindenképpen jobb eltávolítani artroszkópos műtéttel.

A „chip” artroszkópos képe
A tüneteket nem okozó chipek megítélése nehezebb, hiszen állandó jelenlétük krónikus ízületgyulladást eredményezhet, amitől tönkre is mehet az ízület. Általában véve ezt jobb megelőzni! Ugyanakkor ismerünk idősebb lovakat, melyeknek régóta vannak fragmentumok az ízületeikben anélkül, hogy degenerációt okoztak volna.
Egy fiatal lónál sajnos nem lehet előre tudni a kórlefolyást, de mindenképpen érdemes mérlegelni, hogy a lovat megműttessük-e, vagy sem. Idejekorán végzett műtéttel teljes gyógyulást érhetünk el.
OCD a csánkban. A leválás a sípcsont tarajáról történt.

„Chip” a csüdízület elülső felében. A darabka két széle hegyes, ami viszonylag friss törésre utal.

A csüd hátulsó részében lévő „chipek” eltávolítása sokkal nehezebb, mint az elől helyeződőké.
Egy „maréknyi” OCD chip a térdízületben.


