Így néz ki egy egészséges térd RTG felvétele:
A térdízület a legbonyolultabb ízület a végtagokon, igazán kimaradhatott volna az evolúció bűvös megoldásai közül! az ízületben lévő rengeteg szalag (mint például a kereszteződő szalagok) és a két c-porc (amit meniscus néven is emlegetnek sokszor) nagyon összetett szerkezetűvé teszi. Ezért nemcsak a diagnosztikája, hanem a kezelése is sokkal nehezebb, mint sok más ízületé. Nemcsak az ízületi porc, hanem a szalagok, vagy a c-porcok is sérülhetnek.

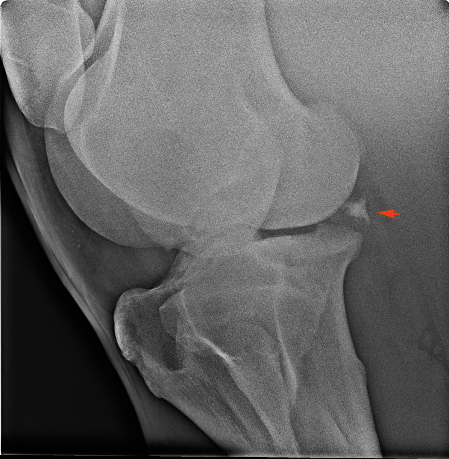
A piros nyíl egy meszesedést mutat, ami a c-porc (meniscus) régi megbetegedése miatt alakult ki. Súlyos elváltozás.
A hátulsó végtag sántaság elmúlik az ízület érzéstelenítésére, (tudni kell, hogy sok esetben nem teljesen). Ilyenkor RTG és Ultrahang vizsgálatot végzünk, amivel a problémák nagyobb részét látjuk, de több betegség rejtve marad. MRI vizsgálatot csak néhány helyen tudnak végezni a világon a lovak térdéről. Ha a diagnózis bizonytalan vagy a ló nem reagál konzervatív kezelésekre, artroszkópiás műtétre lehet szükség. Így át lehet tekinteni a röntgen és ultrahang elől rejtve maradt területeket, pontosabb diagnózishoz lehet jutni és effektívebb kezelést is el lehet végezni.
A konzervatív kezelés alapja az ízület injekciózása a már említett artroszkópia mellett. Érdekesség, hogy hiába a legbonyolultabb ízület, úgy tűnik, hogy az őssejt kezelés itt a leghatékonyabb.
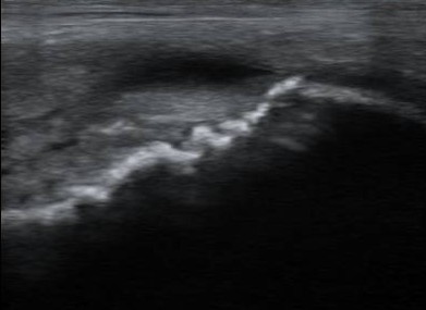
Az ultrahang diagnosztika nagyon nehéz. A felvételen a csontfelszín egyenetlensége látszik (recés, fehér vonal). Krónikus ízületgyulladás során kialakuló csontfelrakódások okozzák. Ezek az elváltozások hamarabb láthatóak ultrahanggal, mint röntgennel.


