
Így néz ki egy egészséges pataízület
Az elülső végtagon a leggyakoribb sántasági ok. A hátulsó végtagon sokkal ritkább.
Ilyenkor az ízület kitelt, a pártaszél felett egy hullámzó, folyadékkal teli zsákocskát lehet érezni, de ezt sokkal nehezebb észrevenni, mint, amikor a csüd vagy a csánk telik fel. A sántaság legtöbbször a belső oldalon fokozottabb körön, a hajlítási próba rendszerint pozitív. A pataízület érzéstelenítése után a sántaság elmúlik. A röntgenjelek sokszor enyhék, de előrehaladottabb problémákat is találunk. A diagnosztika nehézségét az jelenti, hogy egyéb betegségek is lehetnek ugyanazon végtagon és előfordulhat, hogy ezek a tünetekben átfedik egymást.
A pataízület injekciózása.
Kezdeti stádiumban nagyon jól kezelhető. Leginkább ízületi injekciókat és kiegészítőket (glükozamino-glikán, gyógynövény) alkalmazunk. Nagyon fontos a megfelelő patkolás és az ízületre jutó stressz közömbösítése.

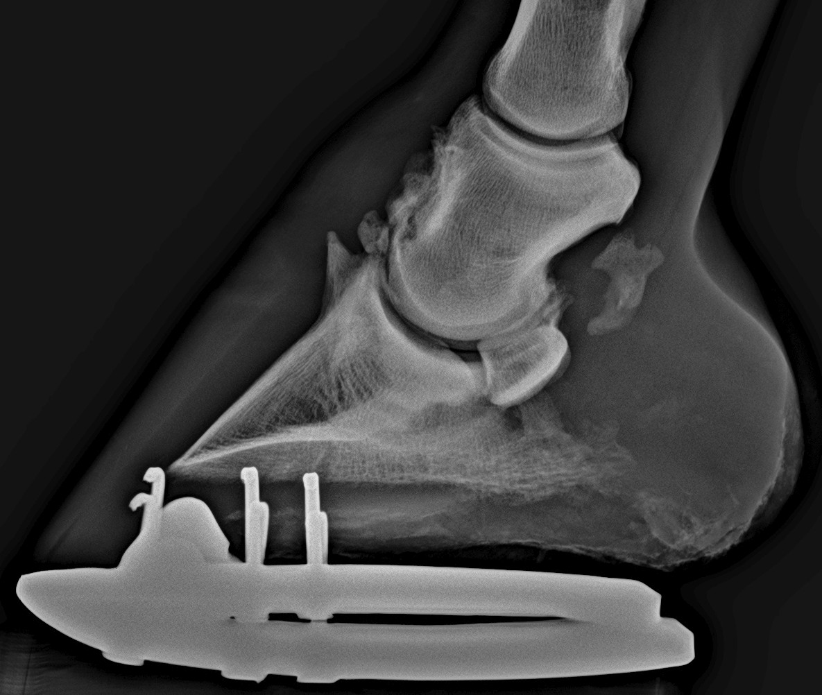
Enyhe RTG elváltozások. A nyilak csontfelrakódásokat mutatnak.

Súlyos ízületgyulladás. Rengeteg csontfelrakódás látható.

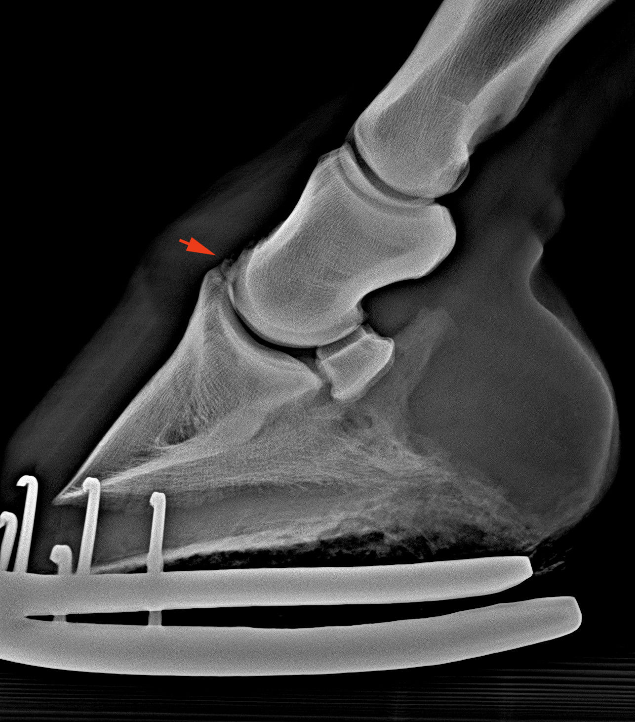
Apró letört csontdarab, „chip” a patacsontról (piros nyíl)

Ugyanaz az elváltozás, csak „nagyban”


