A csánkízület gyulladása a leggyakoribb sántasági ok a hátulsó végtagon. Oka valószínűleg az, hogy a csánk alsó ízületsorai kis mozgású, lengéscsillapító tulajdonságú ízületek. A végtagon végigfutó erőhatásokat nem tudják úgy levezetni, mint a nagyobb mozgástérrel bíró ízületek.

Az ízületek királya, a csánk. Normál RTG felvétel.
A gyulladás alattomosan, fokozatosan növekedve, gyakran mindkét végtagon, szimmetrikusan, szinte észrevétlenül alakul ki. Eleinte teljesítménycsökkenés, csökkenő impulzus a hátulsó végtagok felől, lustább mozgás tapasztalható. Gyakori, hogy a ló csíkot húz a talajba, nem emeli a végtagokat. Később a fájdalom szintje eljuthat oda, hogy egy könnyebben észrevehető sántaság is megjelenik. Mivel a hátulsó végtagok munkája nem kielégítő, a ló gyakran túlterheli az elülső végtagokat, gyakran egyenítő szalag sérülés alakul ki valamelyik elülső végtagon.
Komolyabb munkában lévő lovaknál olyan gyakori, hogy szinte minden lónál érdemes megvizsgálni és kezelni.
A patkó külső szára két árok behúzásával lett szélesebb. A belső-első része köszörüléssel keskenyítve. A patkó puha talajon fejti ki hatását. (Fotó: Ormándi Zsolt)
A jó hír, hogy nagyon jól lehet kezelni, főleg az enyhébb elváltozásokat. Ízületbe adott injekciókkal általában 6-12 hónapra rendbe lehet hozni a lovakat. Az előrehaladottabb, kezelésre gyengén reagáló eseteknél az ízület mielőbbi merevítése a cél. Ezt műtéti úton, vagy az ízületbe történő alkoholos befecskendezéssel lehet legkönnyebben elérni. A kezelésnek fontos része lehet egy speciális gyógypatkó felhelyezése: a hátulsó végtag patkójának külső szára szélesített, elől-belül keskenyített a patkó.

Egészséges csánk RTG képe.

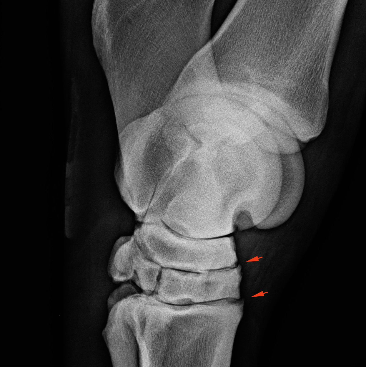
Kezdeti elváltozások. A nyilak az ízületek szerkezetének felbomlását, csontfelrakódások képződését mutatja.

A nyíl a kifejezetten erős csontképződésre, a felbomlott ízületi résre mutat. A kicsi csontok fehéren világítanak a csonton belül, viharosan zajló mészlerakódástól.

A fehér nyíl az egészséges ízületi rést mutatja - vékony, szabályos fekete csík. A piros nyíl a beteg ízületre mutat - jelentős csontoldódás és körülötte meszesedés.

Nagyméretű csontfelrakódás, mellette felbomlott szerkezetű ízület.


