Jellemzően középkorú, idősödő lovak megbetegedése, általában 13-15 éves kor felett jelentkezik. Ezért gyakran a karrier végét jelenti egy ló számára. Mivel a megbetegedő lovak már nem olyan fiatalok, ezért lassabban is gyógyulnak.
Érdemes tudni, hogy ezt a szalagot vágjuk át a bakpatás csikók műtéti kezelés során.
A betegséget ultrahanggal diagnosztizáljuk. Fontos, hogy a sérülés kialakulása után legalább két hetet várjunk a végleges diagnózis felállításával, mert gyakori, hogy az ultrahangos kép még tovább romlik ez alatt az idő alatt, és a túl korán végzett ultrahangozással alábecsülhetjük a sérülés mértékét.


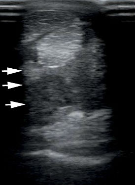
Az első képen egy súlyosan sérült, teljesen felbomlott szerkezetű járulékos szalagot mutatnak a nyilak. A második képen III. jelzi az egészséges párját.
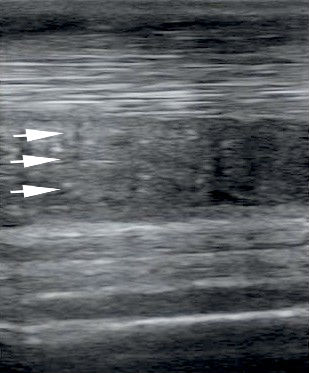
Hosszmetszetben vizsgált, sérült járulékos szalag. A szabályos, erős, fehér rostokból álló szerkezet helyett szürke, szemcsés sáv (nyilak)
A kezelés alapja a kontrollált mozgatás.
Az orvosi kezelések közül a legmodernebb az őssejt kezelés. Nagyon népszerű és jól működik a PRP kezelés is. Saját tapasztalatunk nagyon jó akupunktúra alkalmazásával. A fizioterápiák közül a lökéshullám-terápia (shockwave) és a lézer kezelés jöhet szóba.
Az ínsérülésekről összefoglalót IDE KATTINTVA olvashat.


