Gyakori betegség, a lovasoknak is mindig egyértelmű. A sérült ín megduzzad, környezete beszűrődik, fájdalmassá válik. „Kidőlt az ina”, mondja a lovas szakzsargon. A komolyabb sérülések szinte banán alakúak lesznek. Diagnózisa egyszerű, ultrahang vizsgálattal nagyon pontos. Fontos tudni, hogy 3-4 napot mindenképpen érdemes várni ahhoz, hogy a sérülés mértékét jól meg tudjuk ítélni. Ha korábban nézzük, lehet, hogy kisebbnek látjuk, mint valójában. A kezelés alapja a kontrollált mozgatás.
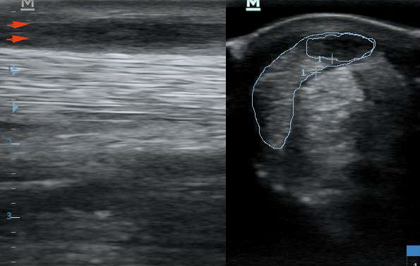
Ezt látjuk a vizsgálat során. Bal oldalon hosszmetszetben, jobb oldalon keresztmetszetben.

Ugyanaz a felvétel, az elváltozások bejelölve. Bal oldalon a piros nyilak jelzik a sérült ín sávját. Az egyenes, erős, fehér csíkok helyén fekete mező. A jobb oldalon körberajzolva az ín teljes keresztmetszete, azon belül a sérült rész. Az erős, fehér pettyezettség helyett fekete mező.
Az orvosi kezelések közül a legmodernebb az őssejt kezelés, de nagyon népszerű és jól működik a PRP kezelés is. Nagyon jó tapasztalatunk van az akupunktúra alkalmazásával. A fizioterápiák közül a lökéshullám-terápia (shockwave) és a lézer kezelés jöhet szóba. Az egyik legeredményesebb kezelés egy műtét, az ín járulékos szalagjának átmetszése. Ezzel az inat érő erőhatások áttevődnek az izomhasra, amelyik lényegesen rugalmasabb, így az ín kevésbé feszül, kisebb az újrasérülés esélye.
A kezelés eredményessége sok mindentől függ. Mivel a galopp lovak inaira nagyon nagy feszítő erők hatnak, ezért a sérülés kiújulása lényegesen magasabb galopp lovak esetén, mint más munkát végző lovaknál. Előbbi esetben a lovak mintegy fele tud teljesen meggyógyulni, egyéb lovaknál 80-90%-ban vissza tudnak térni a sérülést megelőző mozgásszintre. Lényeges kérdés, hogy a hosszú és nehézkes rehabilitációt mennyire sikerül betartani, a ló mennyire együttműködő.
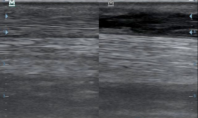
A bal oldalon az ín ép része, a jobb oldalon a sérült fele.
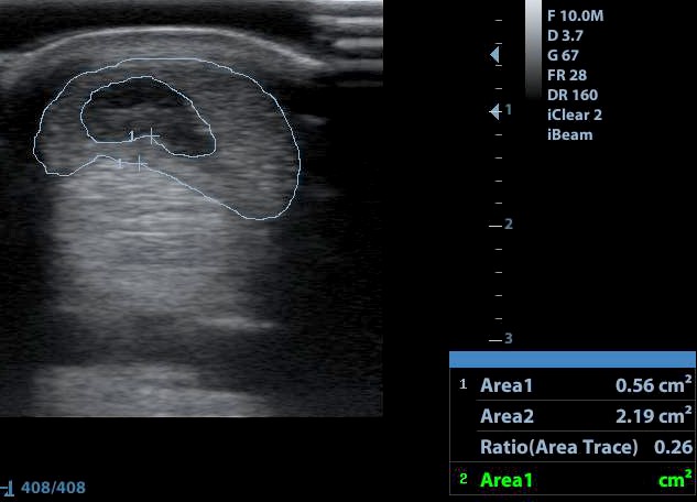
Egy kifejezetten nagy defekt az ín közepében.
A defektet bejelölve lemértük, hogy hány százalékát teszi ki a teljes keresztmetszetnek - jelen esetben 26%-os sérülés.
Az ínsérülésekről összefoglalót IDE KATTINTVA olvashat.


