Szerencsére nagyon ritka megbetegedés, mert ez a váll környéki ín nagyobb terhelésnek van kitéve, mint a hajlító inak. Ezért lényegesen nehezebb a gyógyítása is. Az ultrahangos vizsgálattal felállított diagnózis felállítása is elég nehéz, hiszen az ín kezdeti szakasza olyan változatos lehet, hogy nagyon nehéz a valós sérülések elkülönítése az egyedi változatokkal bíró egészséges ín képétől.
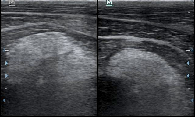
A két felvételen a két biceps ín keresztmetszete látható. A bal oldali, sérült ín erősen megnagyobbodott, szabályos, fehér, „pöttyös” szerkezete felbomlott. A jobb oldali ín normális.
A kezelés alapja a kontrollált mozgatás.
Az orvosi kezelések közül a legmodernebb az őssejt kezelés. Nagyon népszerű és jól működik a PRP kezelés is. A fizioterápiák közül a lökéshullám-terápia (shockwave) és a lézer kezelés jöhet szóba.
Az ínsérülésekről összefoglalót IDE KATTINTVA olvashat.


